一般歯科

お子さまからご高齢の方まで
幅広く診療いたします
当院では削りすぎない・なるべく抜かない治療をモットーに患者さまのお身体に優しい治療を心がけています。むし歯や歯周病の治療には見えない場所の把握が欠かせません。歯科用CTやレントゲンを駆使してお口の中・あごの骨・血管や神経などの状態を正確に把握。丁寧な治療で根治を追求します。保育士資格を持つスタッフも在籍しておりますので、歯科医院に不慣れなお子さまも気兼ねなくご来院ください。

治療と予防、
歯の健康にWでアプローチ
むし歯の治療はもちろん、予防にも力を入れています。むし歯や歯周病を発症しない・再発させないために、患者さまご自身のむし歯リスクを発見して予防医療を行います。その他むし歯のメカニズムや病態の説明、歯みがき・食生活・生活習慣など予防に役立つアドバイスをお話ししています。
こんな症状は
ありませんか?



むし歯ができているかもしれません。
お口のチェックをおすすめします。
痛みを感じにくい治療への取り組み
1. 痛みの少ない治療
表面麻酔

電動麻酔器


表面麻酔って?

麻酔注射の前に塗布することでチクっとする痛みを和らげます。どうしても歯医者のイメージは痛い・怖いがつきものですが、当院ではそんな不安を軽減するために表面麻酔やさまざまな機器を使用して、なるべく痛みや負担を抑えられるよう努めています。安心してお越しください。
カートリッジウォーマー

細い針

5倍速タービン

2. 削りすぎない・なるべく
抜かない精確な治療
歯科用CT

電機歯髄診断機

根管長測定器

コンポジットレジン
(CR充填)

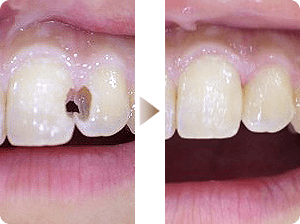
切削量を最小限に抑える修復治療
切削を最小限に抑え、保険治療の範囲内で白く修復することができる治療方法です。レジンを充填するリカバリー方法で、詰め物よりも健康な歯をより多く残すことが可能です。同様の手法で材料の制限がなく審美性を高めた自由診療をダイレクトボンディングと呼んでいます。
メリット
- ・健康な歯を多く残すことができる
- ・保険適用範囲内で治療できる
- ・自然な見た目で白くリカバリーできる
- ・金属を使用しないため体に優しい
デメリット
- ・レジンが縮んだり変色したりする
- ・すき間から二次むし歯になりやすい
- ・劣化するため定期的な治療のやり替えが必要

歯科用ルーペ(拡大鏡)
コンパクトな眼鏡タイプの拡大鏡です。肉眼の約2~10倍まで拡大して見ることができるため、感染箇所とそうでない箇所を肉眼よりも精密に認識することができます。他にも詰め物の接合や部位の把握などより高いレベルの治療を行うことができます。
- Point.1 治療の成功率アップ
-
- 肉眼での認識が難しい治療箇所も、明るく見通せる拡大視野で丁寧な治療が実現し、治療の成功率を高めます。
- Point.2 再発を予防
-
- 修復物や充填物をすき間なくピッタリと接合することで、二次むし歯やむし歯の再発を予防します。

MTAセメント
歯髄を取り除き空洞になった根管内部に充填して使用する歯科用のセメント。生体親和性が高く、強アルカリ性で殺菌作用があり、膨張する性質のため高い密封性を持ちます。ミネラルを持続的に放出するため歯や神経の修復効果も期待できます。
Check!!
- 高い密封性
- 殺菌効果
- 組織の修復
- 再発予防
保育資格をもつスタッフが
お子さまをお預かりします

育児で忙しい方をバックアップ
当院では保育士資格を持つスタッフが在籍しております。歯医者さんが怖いお子さまから、乳幼児をお連れの保護者の方まで、気兼ねなくご来院ください。治療中はお子さまをお預かりすることもできますので、ご希望の際はご連絡のうえ、ご来院ください。

乳幼児連れでの受診にハードルを
感じているお母さまへ
出産後は唾液の減少や免疫力の低下、睡眠不足などにより歯科疾患を発症する方が増加します。小さな赤ちゃんを連れての受診にハードルを感じてそのままになっている方がいましたら、ぜひ当院までご連絡をお待ちしています。
小児歯科

赤ちゃんの頃から診察いたします
ご家族で予防に取り組みましょう
むし歯が大人から赤ちゃんへ感染することをご存知ですか?ご家族単位で歯科疾患の予防や治療に取り組むことで、お子さまの口腔環境をより良いものへ導くことができます。当院では定期的な検診や予防医療、早期発見・早期治療をおすすめしています。
お子さまの成長に合わせて
ステップアップ
「子どもが歯医者さんを嫌がったらどうしよう」「大変そう」と
少し心配な保護者の方もいらっしゃると思います。
当院ではいきなり治療するということはいたしません。
お子さまのペースに合わせ、ゆっくりとできるところからスタートしていきましょう。
安心してお越しください。

Check!!
はじめての歯医者さんは6か月前後から通っていただくことができます。
お子さまの歯がいつから生え始めるかは個人差があり、
明確に何か月からということはありません。
下の前歯が生えはじめたら一度ご来院ください。
お子さまをむし歯から守るために
1. むし歯の垂直感染を防ごう
新生児のお口にはむし歯菌が存在しないと言われています。多くの場合、親や周りの大人から飛沫を介した垂直感染で子どもにもむし歯菌が移っていきます。

- Point.1
まずは大人が口腔ケアに
取り組みましょう - 検診をしばらく受けてない方は、まずは歯科医院での検診とクリーニングをおすすめします。むし歯や歯周病がある場合は治療を開始しましょう。

- Point.2
口移しや飲食物の共有を
避けましょう - お子さまとお食事をシェアする時は、あらかじめ取り分けする、飲み物の回し飲みを避けるなどの工夫をしましょう。

- Point.3
離乳食を冷ます時は
ミニ扇風機などがおすすめです - 子どもに与える食品の温度を冷ますときに、大人が息を吹きかけることがあると思いますが、飛沫が飛ぶことで感染につながります。離乳食グッズやハンディタイプの扇風機などをできるだけ活用しましょう。
2. むし歯になりやすい
タイミングを把握しよう
子どものむし歯予防に毎日の仕上げみがき、特にお子さまが小さいうちは他にもやることがたくさんあって色々大変ですよね。お子さまのむし歯を少しでも減らし、保護者の方の気がかりを解消するためにも、予防医療を受けてみてはいかがでしょうか?むし歯にかかりやすい時期を把握して、適切な予防を受け、むし歯を効果的にブロックしましょう。
むし歯にかかりやすいといわれる
代表的なタイミング
1.「感染の窓」
(1歳7か月頃~2歳7か月頃)
乳臼歯が生え始める1歳7か月頃から乳歯が生えそろう2歳7か月頃までを「感染の窓」が開く時期です。

2.「生え変わり期」
(6歳~12歳頃)
第一大臼歯が6歳頃、第二大臼歯が12歳頃に萌出します。生えたての大臼歯はむし歯になりやすく注意が必要です。生え変わり期は歯の高さに差があり、清掃性が悪くなる傾向があります。予防医療を上手に取り入れましょう。

3. 予防医療を取り入れよう
お子さまのための予防メニュー
1 . フッ素塗布

フッ素にはどんなメリットがあるの?
主に3つのメリットがあります
Merit.1
むし歯に強い歯質を
作ります
エナメル質の9割を占めるハイドロキシアパタイトは、酸に弱くカルシウムやリン酸が溶け出しやすい性質を持っています。歯の表面にフッ化物を塗布し、ハイドロキシアパタイトをフルオロアパタイトに変化させることで酸に対する抵抗力を高めます。

Merit.2
初期むし歯を修復します
カルシウムやリン酸など、ミネラルが溶け出す脱灰はむし歯の始まりです。フッ素はミネラルの回復を促し、脱灰した部分を再石灰化させる働きがあります。

Merit.3
お口の中を清潔に保ちます
フッ素には抗菌・抗酸化作用があります。むし歯菌の活動を抑え、酸の量を減らし、お口の中をむし歯になりにくい状態にします。

2 . シーラント
(小窩裂溝填塞法)

あまり聞きなれない言葉だけど、どんな予防?
奥歯などの溝を
あらかじめ詰め物で
封鎖してしまう予防方法です。

子どもの奥歯の溝は複雑な形状をしていたり、溝が深くて歯ブラシが届かない場合があります。あらかじめ歯の溝をプラスティック樹脂で埋めることで、お手入れしやすく汚れがたまりにくい状態にします。

Check!!
処置した後は
そのままでいいの?
プラスティック樹脂は収縮してしまったり、次第に減ってしまったりします。
予防効果を持続させるためにも定期的なメインテナンスを受けましょう。
3 . 歯みがき指導

仕上げみがきがきちんとできているか心配です。
お子さまが小さい時は仕上げみがきの方法を歯科衛生士がアドバイスします。
お子さま自身の歯みがき指導は3歳ころからスタートします。
仕上げみがきの方法やオーラルケア、食生活などむし歯の予防について歯科衛生士が指導いたします。不安なこと、聞きづらいことなど気兼ねなくご相談ください。

4か月ごとの定期検診を
おすすめしています



育児やお仕事に追われてあっという間に時間が過ぎてしまう子育て期。
ご来院のタイミングを逃さずに習慣化するためにも、春休み・夏休み・冬休みなど
長期のお休みにご来院ください。
予防歯科

時代は治療から予防へシフト
むし歯や歯周病は予防することができる歯科疾患です。むし歯ができてしまっても、予防と治療を並行して行い、むし歯の再発や二次むし歯のリスクを減らすことができます。
「むし歯になったら歯科医院へ」の時代から「むし歯にならないために歯科医院へ」という時代へシフトしていきましょう。
数字で見る
日本の歯科定期検診率

日本人は歯科医院で検診を受けていない?
欧米や予防先進国と比較すると、日本の歯科定期検診率はわずか2%という結果もあります。歯科疾患は健康寿命や生活習慣病と深い関係があることが明らかになっていて、これは“2025年問題”の医療費や介護費増大への解決の糸口とも考えられています。定期検診やクリーニングを上手に活用してお口の健康づくりを心がけましょう。
むし歯ができる理由
むし歯になる要因は大きく分けて4つあります。これらを意識し、食生活や生活習慣を改善することでむし歯予防は
もちろん、口腔環境の改善効果も期待ができます。
- 1. 歯の質
- 歯の質は唾液の成分・分泌量・体質などによって個人差があります。フッ素塗布などの予防医療で歯質を強化したり、補ったりすることができます。
- 2. 時間
- ダラダラ食べなどで酸性の状態が長く続くと再石灰化が進まず、むし歯につながります。歯垢を放置して定着してしまうとむし歯や歯周病の原因にもなります。食べたらみがく習慣を心がけましょう。
- 3. むし歯菌
- むし歯の原因菌としてミュータンス菌とラクトバチルス菌という2つの菌があります。保有量には個人差がありますが、どちらも飛沫感染によって広がります。予防はご家族皆さまで取り組むことがポイントです。
- 4. 糖分
- むし歯菌は糖分が大好きです。長時間お口の中に含むタイプの飴、歯にくっつきやすいクッキーなどはむし歯になりやすいおやつです。摂取した後は丁寧に歯をみがく、フッ素入りの歯みがき粉を使用するなど汚れをしっかりと除去しましょう。

当院の3つの予防メニュー

1. PMTC

2. ブラッシング指導

3. ホームケア指導
1 . PMTC
(Professional Mechanical Teeth Cleaning)
PMTCは専用の器具を使用して歯に定着してしまった汚れを取り除くクリーニングです。セルフケアでは除去することが難しいバイオフィルムなどを取り除き、歯の表面をツルツルに仕上げることで汚れが定着しにくい歯にします。
こんな方に
おすすめです
- 口臭をなくしたい
- 歯石を取りたい
- 歯がザラザラしている
PMTCの流れ
横スクロールできます →



- 1. 歯垢や歯石の除去
- フック状のスケーラーという器具を使用して、歯のすき間汚れや歯垢、歯石を丁寧に取り除いていきます。
- 2. 研磨
- 専用のブラシやチップにPMTCペーストを塗布して歯面をみがき上げていきます。セルフケアでは難しいバイオフィルムを除去し、表面をツルツルに仕上げることで汚れが付着しにくい状態にします。
- 3. 仕上げ
- フッ素を最後に塗布します。フッ素にはむし歯予防や抗菌作用、歯質を強める効果があり、むし歯予防に効果的です。
2 . ブラッシング指導

予防の基本は歯みがきです。歯の生え方に特徴があったり、インプラントや義歯の使用、歯が抜けているなど汚れが落ちにくい場所はお一人おひとり異なります。歯ブラシの持ち方やあて方、みがき方や動かし方など、患者さまのお口に合った効果的なブラッシング方法を歯科衛生士が直接指導いたします。
3 . ホームケア指導

むし歯タイプ?歯周病タイプ?それとも両方?
生活習慣はむし歯や歯周病などの歯科疾患に大きく影響します。患者さまの口腔内の状態や生活習慣からどんなリスクがあるかを分析して、対策や効果的な予防方法をご提案いたします。ご自身がむし歯タイプか、歯周病タイプか、または両方かを知る所からスタートしましょう。
セルフケアのポイント
歯科医院で受けた予防処置を効果的に保つためにも毎日のセルフケアを心がけましょう

- お口にあった歯ブラシ
選び
- セルフケアのポイントは適切な歯ブラシ選びです。一般的な歯ブラシの他にワンタフトブラシと呼ばれるブラシの併用もおすすめしています。

- 歯みがきペーストの活用
- 歯みがきペーストの使用も効果的なホームケアの1つです。むし歯予防に有効なタイプ・歯周病予防に有効なタイプなど、用途によってさまざまなタイプがございます。

- デンタルフロス
- デンタルフロスは歯の形状に沿わせてフィットできるため、糸ようじや歯間ブラシでは届かない場所の汚れをしっかりと取り除くことができます。
歯科医院で受けた予防処置を効果的に保つためにも毎日のセルフケアを心がけましょう

- お口にあった歯ブラシ
選び - セルフケアのポイントは適切な歯ブラシ選びです。一般的な歯ブラシの他にワンタフトブラシと呼ばれるブラシの併用もおすすめしています。

- 歯みがきペーストの活用
- 歯みがきペーストの使用も効果的なホームケアの1つです。むし歯予防に有効なタイプ・歯周病予防に有効なタイプなど、用途によってさまざまなタイプがございます。

- デンタルフロス
- デンタルフロスは歯の形状に沿わせてフィットできるため、糸ようじや歯間ブラシでは届かない場所の汚れをしっかりと取り除くことができます。
歯周病

全身疾患を引き起こす
生活習慣病
歯と歯ぐきのすき間に汚れが蓄積し、炎症が生じる「歯周病」。今や国民病とも言われ、若い世代にも広がりを見せています。
歯周病は、歯肉炎・口臭・歯の喪失などお口のトラブルだけに留まらず、生活習慣病や脳・心疾患・がんなど全身疾患のリスクを高めてしまいます。
毎日のセルフケアと歯科医院での歯周病ケアが効果的です。気になる症状がある方は一度ご相談ください。
こんな症状は
ありませんか?
横スクロールできます →

お早めにご相談ください。
全身にダメージを及ぼす
歯周病

リスクが高まる主な疾患
歯周病が悪化してお口の中から血管や体内へ細菌が侵入することで、さまざまな悪影響を引き起こすことが分かっています。その影響は幅広く、脳・心臓・内臓の疾患、感染症、糖尿病や高血圧などの生活習慣病、さらには低体重出産や早産など妊娠や出産にまで影響を与えます。
大切なことは気が付いた時にすぐに治療を開始することです。お口のクリーニングや歯石除去など、継続することが大切です。

国民皆歯科検診制度の狙いとは?
西暦2025年以降、「団塊の世代」と呼ばれる人々が75歳以上の後期高齢者となり、日本が超高齢化社会になります。このことを「2025年問題」と呼び、医療費や介護費などの社会保障額が大きく膨らむことが問題視されています。
日本の少子化は加速する一方で、若者や現役世代にのしかかる負担を少しでも軽くするための対策が急務です。国民皆歯科検診制度はお口の健康を保つことで健康な高齢者を増やし社会福祉費の削減を目指そうという狙いがあります。
歯周病のステージと
その症状
横スクロールできます →

歯周病治療の流れ
Step.01
- お口の検査・レントゲン撮影
- お口の検査とレントゲン写真を撮影します。むし歯の有無や進行度具合、補綴物、歯根や歯槽骨の状態など全体を把握します。
Step.02
- 歯周病基本検査
- 歯周ポケットの深さや出血の有無、歯の動揺度などをチェックします。
Step.03
- 口腔内写真撮影
- 口腔内カメラでお口の中の写真を撮影をします。歯石を取る前と取った後を比較してご覧いただくことができます。
Step.04
- クリーニング
- 蓄積した汚れやバイオフィルムなどを除去し、汚れがつきにくい状態へと導きます。
Step.05
- 歯石の除去
- 超音波スケーラーを使用して、歯や歯周ポケット内の歯石を丁寧に取り除きます。
Step.06
- 治療説明・ホームケア指導
- 歯周病検査などの結果を踏まえ、今後の治療方針を説明します。ホームケアについても指導します。
Step.07
- 再検査
- 歯周病基本治療を受けていただいた後、再検査を実施します。基本治療を続けても改善が見込めない場合は外科処置へと移ります。
Step.08_改善が見られない場合
- 外科処置
- 歯周形成外科療法や歯周組織再生療法を行います。
Step.09
- 経過観察・メインテナンス
- 一定周期でご来院いただき、経過観察とメインテナンスを受けていただきます。
歯周病にかからないために

歯石の除去やクリーニング

毎日のオーラルケア

規則正しい生活
歯周病の予防には、定期的な歯科医院でのクリーニングや検診と
毎日のオーラルケアが欠かせません。
また歯周病は生活習慣病のひとつです。
規則正しい生活を心がけ、バランスの取れた食生活を送りましょう。
セラミック治療

体に優しいメタルフリー治療
はじめてみませんか?
これまで保険適用の詰め物や被せ物には金属が使用されてきましたが、アレルギーの原因となったり、素材が目立ったりするなどのデメリットがありました。
セラミックは金属のデメリットをカバーするだけではなく、生体親和性や審美性を高めることができる体に優しい治療です。当院では技工所と連携して、適合の良いセラミックをお作りいたします。保証制度もございますので、まずはお気軽ご相談ください。
こんな方におすすめです
- 金属アレルギーの方
- 金属の詰め物を白くしたい方
- 審美性を高めたい方
メリット
- ・天然歯に近い色合いを再現できる
- ・金属アレルギーの方でも安心して使用できる
- ・汚れが付着しにくい
- ・色の経年変化が少なく美しさを保てる
デメリット
- ・陶器なので割れる可能性がある
- ・健康な歯を削らなければいけない場合がある
修復物のタイプ
インレー
(詰め物)

むし歯治療で削った部分に、セラミック製の補綴物をはめ込み部分的に使用します。
クラウン
(被せ物)

重度のむし歯治療で歯冠を喪失した場合、被せ物を作製して修復します。土台を立てる場合もあります。
修復物のタイプ
オールセラミック
(ポーセレン)

Point
陶器と同じ素材。表現できる色幅が豊富で再現性が高い点が特長です。噛む力が強くかかる歯に使用すると割れたり欠けたりすることがあります。
- - 料金 -
- オールセラミックインレー
52,800円(税込)
ジルコニア
(人工ダイヤモンド)

Point
人工のダイヤモンドと言われる素材。人工関節にも使用されており、生体親和性と耐久度が高く、断熱性にも優れています。
- - 料金 -
- ジルコニアクラウン
93,500円~ 107,800円(税込)
3年間の保証制度を
導入しています
当院でセラミック治療を受けられた方に保証制度を設けています。
適正なご使用や定期的なメインテナンスを受けていただいているなど、
一定の条件を満たす方には修理費用を保証いたします。
義歯(入れ歯)

適応範囲が広く
体に優しいポピュラーな治療方法
世界最古の義歯が日本で発見されているのはご存知ですか?日本の義歯の歴史は長く、義歯は使う人を選ばない・健康な歯を削らない・適用範囲が広いなどのメリットがあります。保険が適用されるタイプの義歯もあり、経済的な負担が軽い点もポイントの1つです。
当院で扱う入れ歯の種類
総入れ歯
保険

- レジン床
- プラスチック素材の義歯です。レジン床は調整や修理がしやすく、保険の範囲内で治療が可能です。お試しで使用してみたい方にもおすすめです。
メリット
- ・費用を抑えられる
- ・調整、修理がしやすい
- ・重量が比較的軽い
デメリット
- ・耐久度を補うために厚みがある
- ・熱伝導率が低く食事の温度を感じにくい
- ・吸水性があり汚れがつきやすい
自費

- 金属床
- 熱伝導率の高い金属を使用した義歯です。レジン床と比較して厚みを抑えられるため適合性に優れ、食べ物の温度を自然に感じることができます。
メリット
- ・薄くて適合性が高い
- ・高い熱伝導率で飲食時の温度を感じやすい
- ・丈夫で壊れにくい
- ・汚れが落ちやすい
デメリット
- ・保険が適用されない
- ・金属アレルギーがあると適応できない
- ・調整や修理が難しい
- ・金属によっては重量がある

- コバルトクロム床
- 熱伝導率の高い金属を使用した義歯です。レジン床と比較して厚みをおさえられるため適合性に優れ、食べ物の温度を自然に感じることができます。
- - 料金 -
- 302,500円(税込)

- バイタリウム床(co-cr)
- コバルトクロムの上位です。レジン床の約1/3の薄さでニッケルやベリリウムを含有しない安全性が高い素材です。多くの歯科医院で扱われています。
- - 料金 -
- 335,500円(税込)

- チタン床
- レジン床の1/4の薄さ、合金の半分の軽さで作製できます。熱伝導率が高く食べ物の温度をより自然に楽しむことができ、人工関節にも使用されるほど生体親和性が高い素材です。
- - 料金 -
- 423,500円(税込)
部分入れ歯
保険

クラスプ
保険適用の部分入れ歯です。金属製の留め具がついています。
自費

ノンクラスプ
自然な見た目と床が薄いため、装着感に優れている入れ歯です。
- - 料金 -
- 79,200円~92,400円(税込)
精度の高い義歯をお作りするために
咬合器の使用で
かみ合わせを
忠実に再現

提携技工所と連携して
義歯を設計

入れ歯は失った歯の代わりとなる大切な人工歯です。当院ではより精度の高い義歯をお作りするために、咬合器を取り入れて精確なかみ合わせを再現しています。義歯専門の技工所と連携を取り、しっかりと噛める整合性の高い義歯作りを心がけています。
インプラント

失くした歯だけで完結する
支えを必要としない治療法
インプラント治療とは、歯を失った箇所の顎の骨に人工歯根を埋め込み、その上部に人工歯冠を装着する治療です。天然歯のような自然な見た目で長期に渡って自分の歯のように機能する効果的な治療方法です。当院では歯科用CTによる精確な診断とストローマン社製インプラントとサージカルガイドを導入しております。
インプラントは
誰でもできるの?
インプラント治療が
適している方
- ・入れ歯を避けたい方
- ・支柱として機能する歯がない方
- ・健康な歯を削りたくない方
- ・喫煙しない方、禁煙できる方
- ・定期的なメインテナンスに通える方
- ・セルフケアを継続できる方
インプラント治療が
難しい方
- ・成長途中の若年者の方
- ・重度の歯周病で進行中の方
- ・喫煙者の方(禁煙できない方)
- ・全身疾患や持病のある方
- ・妊娠中の方
インプラントの構造

- 上部構造
(人工歯冠) - インプラントの上に被せる人工歯冠です。金属やセラミックなどで作製されます。
- アバットメント
(人工支台) - 上部構造とフィクスチャーを連結する支台部分です。上部構造の支えを担う部分です。
- フィクスチャー
(インプラント体) - 歯槽骨の中に埋め込んで使用する人工歯根です。インプラント体とも呼びます。
メリット
- ・支柱となる歯がなくても適用できる
- ・自然な見た目が再現できる
- ・自分の歯のような感覚で使用できる
- ・着脱の必要性がない
デメリット
- ・外科的な処置が必要なので治療に期間を要する
- ・インプラント歯周炎のリスクがある
- ・治療後の定期的なメインテナンスが必要
インプラントのおおまかな流れ
Step.01
精密検査、治療計画の説明
歯科用CTで撮影を行い、お口の状態を確認します。手術で血管や神経を傷つけることがないように精確な位置を把握します。データを元に治療計画を立て、患者さまへ今後の流れを説明します。

Step.02
サージカルガイドの作成
歯科用CTで三次元化したデータを元に、レジン製のマウスピース型ガイド装置を作成します。サージカルガイドに従ってインプラントを埋入することで手術の成功率や安全性が向上します。

Step.03
一次オペ
歯科用CTで三次元化したデータを元に、レジン製のマウスピース型ガイド装置を作成します。サージカルガイドに従ってインプラントを埋入することで手術の成功率や安全性が向上します。

- 1.切開
- 歯ぐきを切開します。

- 2.穿孔
- インプラント体を埋め込むための穴を開けます。

- 3.埋入
- 骨孔にインプラント体を埋め込みます。

- 4.縫合
- 切開した歯ぐきを縫合します。
Step.04
治癒期間
顎の骨にインプラント体が定着するまで2~6か月程度様子を見ます。
Step.05
二次オペ
アバットメントの装着

- 1.切開
- 歯ぐきを切開します。

- 2.アバットメント装着
- インプラント体にアバットメントを取り付けます。
Step.06
人工歯冠の装着
アバットメントの装着して約2週間後、アバットメントの定着を確認した後に、人工歯冠を装着して完成です。

Step.07
リコール・3か月ごとの
メインテナンス
術後の経過観察や3か月ごとの定期的なメインテナンスをします。

5年間の保証制度
適切にご使用いただき、定期的なメインテナンスをされている方は、
期間内の修理費用を全額保証いたします。
不適切な使用による破損、メインテナンスの欠如、
予見できない口腔内の変化の場合は保証外となります。

国内シェアを大きく占める
ストローマン社製インプラントを
使用
ストローマンは歴史と国内外での実績を持ち、インプラント関連製品は70を超えるスイスのメーカーです。本体には生体親和性の高いチタンを使用し、独自の表面形状で骨結合をスピーディに促します。コンパクトなボディは日本人の骨格にも馴染みやすいサイズです。
Check!!
- 歯が欠損したら補おう
- 日本人が歯を失う最大の理由は歯周病です。30代~40代でも歯周病が悪化し歯を失ってしまう方は多くいます。「入れ歯は高齢者が使うもの」という固定概念があるため、実は抜けたままにして放っておいていた患者さまも多く診てきました。しかしそのままにしておくと対合歯が伸びてくる・隣の歯が倒れる・かみ合わせの崩壊・歯の健康寿命が短くなるなど多くの悪影響があります。
☆骨量の不足でインプラント治療を諦めてしまった方も、
骨造成術などの再生療法を行っておりますので、ご相談ください。
ホワイトニング

歯科医院でもっと身近に
質の高いホワイトニングを
ホワイトニングで歯を白くすることは、表情を明るく見せ、清潔感を与えてくれます。
当院では1回の施術で明るくするオフィスホワイトニングと、好きなタイミングでセルフで行うホームホワイトニング、そしてオフィスホワイトニングとホームホワイトニングを組み合わせたデュアルホワイトニングをご用意しています。
どのホワイトニングを
選べばいいの?
オフィスホワイトニング

クリニックにて施術
効果を即日実感していただけます
医療機関でのみ使用が許可されている高濃度の過酸化水素入り薬剤を使用し、歯科医院にてケアします。1回の施術で高いホワイトニング効果が期待できます。当院ではオパールエッセンスBOOSTを取り扱っています。
メリット
- ・施術した日から効果を実感できる
- ・白さを追求できる
- ・医療機関で安心して施術が受けられる
デメリット
- ・効果が短期的
- ・知覚過敏の症状がでることがある
- ・奥歯は白くできない

知覚過敏がご心配な方へ
当院ではホワイトニングによる知覚過敏の痛みを緩和させる、ウルトライーズを取り扱っております。ホワイトニングの前後に使用することで、痛みを緩和させることができます。知覚過敏が気になる方やご心配な方はぜひご相談ください。
ホームホワイトニング

効果はゆっくり
明るさがよく定着いたします
ご自身のタイミングで好きな時に、好きな場所でホワイトニングケアが可能です。歯科医院にて検査とクリーニングをしていただいた後は、ご自身で薬剤を塗布してホワイトニングをしていただくことができます。
ホームホワイトニングの流れ
メリット
- ・自分のタイミングでホワイトニングができる
- ・効果が長続きしやすい
- ・奥歯も白くすることができる
デメリット
- ・効果を感じるまで一定期間が必要
- ・白さの調整がしにくい
- ・自分で管理しなければいけない

オパールエッセンスGOを
取り扱っています
国内外で高いシェアを誇り、支持を受けている代表的なホワイトニングシステムの1つです。過酸化水素6%配合の薬剤で、高い漂白効果が期待できます。カスタムメイドのマウスピース作製が不要で処方後はいつでもどこでもセルフホワイトニングケアを行っていただくことができます。
おすすめ!

デュアルホワイトニング
オフィスとホームを併用し、短期間でより効果を実感していただけます。2つの方法を併用することで、短期間で白さを定着させ長持ちさせることができます。2つの方法を掛け合わせることでより高い効果が見込めるため、白さにこだわる方におすすめです。
メリット
- ・短期間で効果がでやすい
- ・自然な白さを目指せる
- ・白さが定着しやすい
デメリット
- ・知覚過敏が起こりやすい
- ・経済的負担が大きい
- ・通院が必要

むし歯や歯周病がある方は
治療を優先いたします
処方前の検査でむし歯や歯周病などの歯科疾患が見つかった方は原則として治療優先となります。必ずしもご来院当日に施術ができるとは限りません。ご理解のうえご来院ください。
歯科口腔外科

親知らずから口腔がん検診まで
お口のトラブルを診察いたします
強い痛みを伴う親知らず。当院は歯科用CTによる精密な画像診断を行い、安全で精確な抜歯に取り組んでいます。また口腔内検診や粘膜検診はオーラルナビシステムを導入し、24時間以内に口腔外科専門医の判断を仰ぐことが可能です。
ご相談ください
- 親知らずが痛む
- 口内炎が痛い
- 粘膜が腫れたり変色したりしている
親知らず

歯科用CTで精密な診断
連携病院への紹介も可能です
親知らずは、その生え方によってさまざまなタイプがあり、痛みの有無や強さも異なります。まだ親知らずが生えていない方は、痛みが出る前に一度検査をおすすめします。痛みが出る前に対策を取ることが可能なケースもあります。自家歯牙移植などへの使用を検討されている方も一度ご相談ください。
タイプ別の親知らず対処法
- 正常なタイプ
-
- 痛みがなくまっすぐ親知らずが生えている状態です。
- 埋伏タイプ
-
- 歯ぐきの中に親知らずが完全に埋没している状態です。
- 半埋伏タイプ
-
- 歯ぐきの中から親知らずが一部顔を出している状態です。
ご紹介いたします
難症例や複雑な抜歯が必要な場合は提携先の連携病院へご紹介が可能です。
- 昭和大学歯科病院
- 東京都立荏原病院
- 独立行政法人国立病院機構 東京医療センタ- etc.
口内炎

頬の内側や歯ぐきなどにできる
様々な炎症です
しょっぱいものが染みたり、ものを噛む時に当たったりしてとても辛い口内炎は歯科医院でも治療ができます。原因はさまざまですがそのまま放置せず、受診を心がけましょう。
口内炎4つのタイプ
- アフタ性
- 免疫力の低下・栄養不足・疲れなどから発生する口内炎
- ウイルス性
- ヘルペス・カンジダなどウイルスなどのウイルス感染に起因した口内炎
- カタル性
- 受傷や外傷からくる口内炎
- その他
- 喫煙や金属アレルギーなどの影響から来る白斑などの炎症
口腔内粘膜の症状がある方へ

遠隔で専門医の診断を仰げる
「オーラルナビシステム」
当院ではオーラルナビシステムという粘膜検査が遠隔で受けられるサービスを導入しています。院内で撮影した口腔内の写真と検査の結果を登録するだけで24時間以内に他院の専門医の所見・アドバイスを受け取ることが可能なシステムです。
口腔がん検診を受けましょう

1年に1回の検診を
おすすめしています
口腔がんは通常5年~10年かけて進行していきます。口腔がん検診を受診することで早期発見・早期治療ができます。1年に1回の検診を心がけましょう。
訪問歯科

どなたでも歯科医療が受けられる
素敵な町づくりのために
脚が悪く歩行が困難な方、入院中や要介護の方、歯科医院への通院に抵抗をお持ちの方など様々なニーズにご対応します。ご自宅をはじめ、ケアセンターや病院など、施設への往診もいたします。どなたでも歯科医療が受けられる、素敵な地域づくりに貢献します。
ご相談ください
- 通院が難しい方
- 歯科医院への通院が苦痛な方
- 入院中で歯科医師の診察をご希望の方
訪問歯科で取り扱う
主な診療項目
- ・むし歯、歯周病の治療
- ・口腔ケア
- ・入れ歯の作製、調整、修理
- ・唾液腺マッサージ

オーラルフレイルを
ご存知ですか?

年齢と共に口腔機能は
低下していきます
オーラルフレイルとは加齢によって噛む力、飲み込む力、唾液の量などが低下し、口腔機能が衰えている状態を指します。当院でも歯や入れ歯はしっかりとあるのに、お食事に時間がかかるという方が増えています。口腔機能の検査や口腔機能を高めるアドバイスなどもしています。ご本人だけではなく、ご家族のご相談もお待ちしています。
こんな症状がありましたら
ご相談ください
- 以前よりお食事に時間がかかる
- ものが噛みにくい
- 喉につまる
- むせやすい




